Pseudoartrosis de Escafoides

Una «pseudoartrosis» o «no unión» del escafoides consiste en una fractura del hueso escafoides que NO ha consolidado. (Figura 1)

Cuando están consolidando, pero más lentamente de lo habitual se conoce como «retardo de consolidación».

El escafoides es uno de los 8 pequeños huesos de la muñeca o huesos del carpo.  Estos huesos están organizados en 2 filas.  Durante la movilidad normal de la muñeca, los huesos del carpo se mueven juntos y de manera organizada para permitir a la muñeca conseguir muchas de las posiciones que consideramos normales.  El escafoides abarca en cierta manera las dos filas y «dirige» la movilidad del resto de los huesos del carpo.

PATOLOGIAS MUÑECA - PSEUDOARTROSIS DE ESCAFOIDES Figura 1 - Pseudoartrosis de fractura de hueso escafoides
Figura 1 - Pseudoartrosis de fractura de hueso escafoides

CAUSAS

El escafoides puede lesionarse cuando se sufre una carga o traumatismo con la muñeca extendida, como ocurre por ejemplo en las caídas.  Si se rompe el escafoides, los pequeños vasos sanguíneos que irrigan al hueso pueden lesionarse.  Puesto que es necesaria una buena irrigación sanguínea para la consolidación de la fractura, el escafoides puede tardar mucho tiempo (a veces, algunos meses) en consolidar.

 

SIGNOS Y SÍNTOMAS

La mayoría de los pacientes que sufren una fractura de escafoides presentan dolor y/o inflamación en el borde radial de la muñeca (el lado más cercano al pulgar).  El diagnóstico se confirma la mayoría de las veces con radiografías simples.  En ocasiones, un escáner (TAC) o una Resonancia Magnética son necesarias para valorar mejor tanto la forma como la alineación del escafoides, que serán de ayuda en la planificación preoperatoria.

Si la fractura de escafoides no consolida, estos síntomas pueden continuar, pero también puede que, por el contrario, desaparezcan y no sea hasta meses o años más tarde que comiencen a aparecer los síntomas producidos por la degeneración que esta fractura provoca en la muñeca si no se cura correctamente. (Figura 2)

Pueden ser signos de que la fractura no está consolidando la disminución de la fuerza por dolor o incapacidad para hacer flexiones, etc.

PATOLOGIAS MUÑECA - PSEUDOARTROSIS DE ESCAFOIDES Figura 2 - Degeneración artrósica de la muñeca secundaria a pseudoartrosis de escafoides
Figura 2 - Degeneración artrósica de la muñeca secundaria a pseudoartrosis de escafoides

TRATAMIENTO

El tratamiento de la pseudoartrosis de escafoides depende de muchos factores, entre los que se encuentran: la edad del paciente, el uso de la mano, nivel de actividad, síntomas, si el paciente es fumador o no, el tipo de fractura, si hay necrosis avascular asociada a la pseudoartrosis y otras enfermedades añadidas.

Los objetivos del tratamiento son calmar el dolor, conseguir la mejor funcionalidad de la muñeca y mano posible y prevenir la artrosis.  Generalmente, es necesario el tratamiento quirúrgico para limpiar y legrar el foco de la fractura para poder poner algún tipo de injerto óseo y estabilizar la fractura con agujas o tornillos (Figura 3).  Dentro de las opciones quirúrgicas se incluyen también la estiloidectomía del radio, la carpectomía proximal, le extirpación del escafoides y artrodesis o fusión parcial de la muñeca (Figura 4) e incluso la artrodesis o fusión total de la muñeca, dependiendo entre otras cosas del grado de degeneración artrósica de la muñeca asociada a la pseudoartrosis.

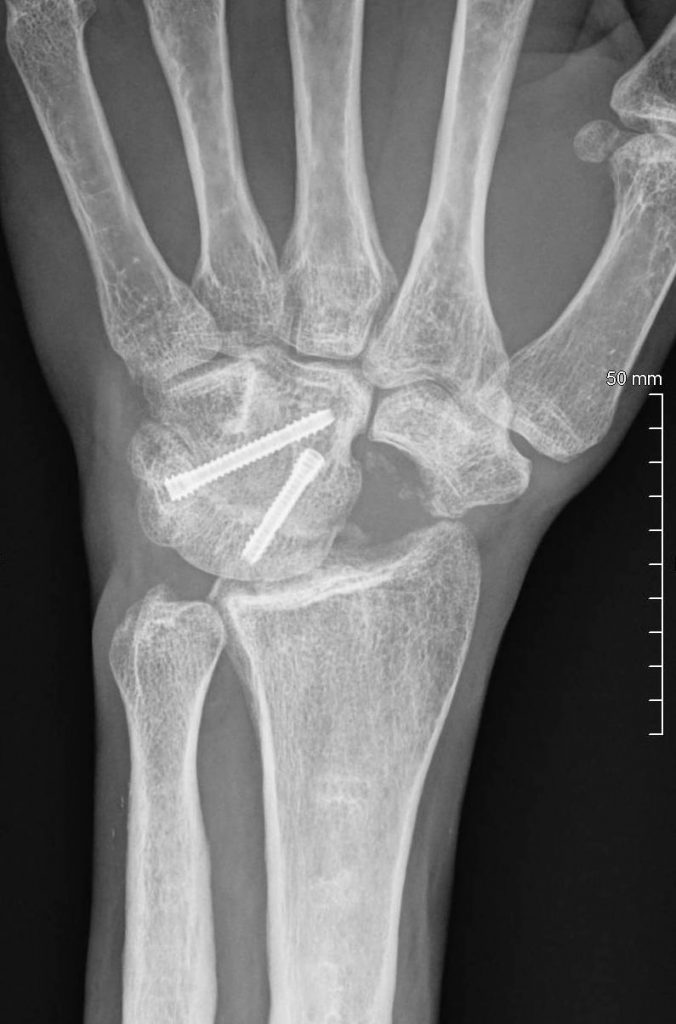
PATOLOGIAS MUÑECA - PSEUDOARTROSIS DE ESCAFOIDES Figura 3 - Rx postquirúrgica pseudoartrosis escafoides con injerto
Figura 3 - Rx postquirúrgica pseudoartrosis escafoides con injerto.

El tratamiento no quirúrgico puede incluir el uso de muñequeras, fármacos anti-inflamatorios o infiltraciones con tratamientos regenerativos o bio-reparadores  (PRPs, Células Madre), o corticoides para mejorar el dolor.

Es importante que consulte con su Cirujano de Mano, el Dr. Fernando Polo, para saber cuál es la mejor opción para su caso.

PATOLOGIAS MUÑECA - PSEUDOARTROSIS DE ESCAFOIDES Figura 4 - Fusión parcial de la muñeca. Artrodesis 4 esquinas
Figura 4 - Fusión parcial de la muñeca. Artrodesis 4 esquinas.