Rizartrosis

¿QUÉ ES LA RIZARTROSIS?

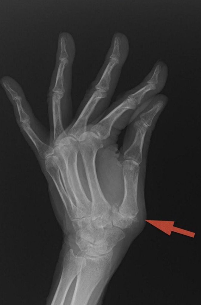
La rizartrosis es la artrosis de la articulación de la base del pulgar.  (Figura 1)

En una articulación normal, el cartílago cubre la superficie de los dos huesos que forman la articulación facilitando el movimiento y deslizamiento suave entre ellos.  Este cartílago se puede desgastar debido a las actividades de la vida diaria y al paso del tiempo.  También puede dañarse por traumatismos, fracturas u otras lesiones.  Cuando el cartílago se desgasta y los huesos de la articulación rozan uno con el otro decimos que la articulación sufre artrosis.

La articulación de la base del pulgar es un lugar muy frecuente de desarrollo de artrosis en la mano.  Esta articulación está formada por dos huesos (el Trapecio y el Primer metacarpiano) y se encarga de proporcionar el movimiento al pulgar.

PATOLOGÍAS EN MANO Y DEDOS - RIZARTROSIS Figura 1 - Radiografía de una Rizartrosis
Figura 1 - Radiografía de una Rizartrosis

¿CUALES SON LOS SIGNOS Y SÍNTOMAS DE LA RIZARTROSIS?

Los síntomas de la Rizartrosis incluyen el dolor en la base del pulgar al agarrar objetos o al realizar movimientos de pinza.  Muy frecuentemente el dolor se produce al abrir botes, agarrar y girar el pomo de la puerta o al girar una llave.  La fuerza de agarre y la pinza disminuye a medida que la Rizartrosis empeora y en los casos severos o avanzados la base del pulgar suele deformarse debido a la dislocación parcial o subluxación de la articulación debido al desgaste de la misma (Figura 2).

La Rizartrosis es más frecuente en mujeres que en hombres, suele aparecer a partir de los 40 años y puede afectar a cualquiera de las dos manos e incluso a las dos al mismo tiempo.

Figura 2 - Deformidad de la base del pulgar secundaria a rizartrosis.

¿CÓMO SE DIAGNOSTICA?

El diagnóstico de la Rizartrosis se hace mediante a exploración física y ante los hallazgos de dolor e inflamación previamente comentados.  Durante la exploración se puede llegar a notar el roce entre los huesos al mover el pulgar.  Las Radiografías demuestran los signos clásicos de la artrosis: disminución del espacio articular, formación de osteofítos (o espículas óseas) alrededor de la articulación e incluso la subluxación de la articulación (dislocación) en casos avanzados.

 

¿CUAL ES EL TRATAMIENTO DE LA RIZARTROSIS?

El tratamiento de este problema consiste en la inmovilización de la articulación con la ayuda de muñequeras específicas y la toma de anti-inflamatorios para disminuir la inflamación y el dolor.  También se pueden utilizar infiltraciones de sustancias bio-reparadoras como Plasma Rico en Plaquetas (PRPs), o corticoides y anestésicos locales o visco-suplementación para su tratamiento.

Los pacientes que no responden a tratamiento conservador pueden necesitar cirugía.  Están descritas diferentes técnicas para tratar la Rizartrosis.  Entre las más utilizadas están las prótesis (Figuras 3 y 4), que permiten una recuperación funcional rápida con una muy buena respuesta al dolor.  El Dr. Polo le informará de cuál es la opción más adecuada a su caso.

RIZARTROSIS Figura 3 - Prótesis de articulación TMC por rizartrosis AP
Figura 3 - Prótesis de articulación TMC por rizartrosis AP
RIZARTROSIS Figura 4 - Prótesis de articulación TMC por rizartrosis LAT
Figura 4 - Prótesis de articulación TMC por rizartrosis LAT