Fracturas de la muñeca

DESCRIPCIÓN

El término médico que se utiliza para referirse a una muñeca rota es “fractura de la muñeca”.

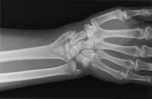
La muñeca está formada por ocho pequeños huesos que se conectan con los dos huesos largos del antebrazo, llamados radio y cúbito. Aunque las fracturas de la muñeca pueden afectar a cualquiera de estos diez huesos, el hueso que se rompe más frecuentemente es, con diferencia, el radio. Esta situación se conoce entre los Cirujanos de la Mano con el nombre de “fractura distal del radio” o «fractura de extremidad distal del radio» (Figura 1).

PATOLOGIAS MUÑECA - FRACTURAS DE LA MUÑECA Figura 1 - Fractura de muñeca o fractura de extremidad distal del radio.
Figura 1 - Fractura de muñeca o fractura de extremidad distal del radio.

Algunas fracturas de muñeca son estables.  Las fracturas “no desplazadas”, en las cuales los huesos no se desplazan de su lugar inicialmente, pueden ser estables. Algunas fracturas “desplazadas” (en las que es necesario recolocar los huesos en su lugar, maniobra que se conoce con el nombre de “reducción”) también pueden ser lo suficientemente estables como para tratarlas con un yeso o férula.

Otras fracturas son inestables.  En las fracturas inestables, aunque los huesos se vuelvan a colocar en su sitio y se ponga una escayola, los fragmentos de hueso tienden a moverse o desplazarse y situarse en una mala posición.

Algunas fracturas son más graves que otras. Las fracturas que afectan a la superficie de la articulación (el juego de la muñeca) o las fracturas que tienen muchos fragmentos (fracturas conminutas) pueden desestabilizar el hueso. Estos tipos graves de fracturas a menudo requieren cirugía para restaurar y mantener su alineación. Decimos que una fractura es abierta cuando un fragmento del hueso rompe la piel y sale a través de ella de manera traumática. Esto puede aumentar el riesgo de infección en el hueso.

 

CAUSAS

Las fracturas de muñeca se producen tras situaciones como, por ejemplo, una caída sobre la mano extendida. Los traumatismos graves, como los accidentes automovilísticos, de motocicleta o las caídas de una escalera, causan lesiones más graves. Los huesos más débiles (por ejemplo, de pacientes con osteoporosis) tienden a romperse con más facilidad.

 

SIGNOS Y SÍNTOMAS

Cuando la muñeca se rompe produce dolor e inflamación. Puede ser difícil mover o usar la mano y la muñeca. Sin embargo, algunas personas todavía pueden llegar a hacerlo incluso estando el hueso roto. La inflamación de la muñeca o el desplazamiento de los fragmentos de hueso de una fractura pueden hacer que la muñeca parezca deformada. Muchas veces hay dolor alrededor de la zona de fractura y este puede empeorar con el movimiento de la mano o los dedos.

 

DIAGNÓSTICO
Su Cirujano de Mano le examinará y solicitará radiografías para comprobar si existe algún hueso roto. A veces, pruebas como las tomografías computarizadas (escáner/TAC) o las resonancias magnéticas (RMN) pueden ser necesarias para obtener mejor detalle de los fragmentos de la fractura y otras lesiones asociadas. Los ligamentos (tejidos blandos que mantienen unidos los huesos), los tendones, los músculos y los nervios también se pueden lesionar cuando la muñeca se rompe; es posible que sea necesario también tratar estas lesiones.

 

TRATAMIENTO

El tratamiento depende de muchos factores, entre ellos:

  • El tipo de fractura, ya sea desplazada, inestable o abierta.
  • Su edad, trabajo, pasatiempos, nivel de actividad y si se trata o no de su mano “dominante”.
  • Su estado de salud en general.
  • La presencia de otras lesiones.

 

Al principio se puede llevar puesta una férula para alinear los huesos y apoyar la muñeca con el fin de proporcionar un poco de alivio al dolor inicial. Si la fractura no es demasiado inestable, se puede usar un yeso para mantener en su sitio una fractura que ha sido previamente reducida (colocada). Otras fracturas podrían necesitar cirugía para volver a colocar los huesos rotos en su posición y mantenerlos en el lugar correcto.

PATOLOGIAS MUÑECA - FRACTURAS DE LA MUÑECA Figura 2 - Fijación de fractura de muñeca con placa y tornillos.
Figura 2 - Fijación de fractura de muñeca con placa y tornillos.

Las fracturas se pueden fijar con muchos dispositivos (Figura 2). Se pueden usar clavos, tornillos, placas, varillas, agujas o fijación externa. Se podría usar una videocámara pequeña (Figura 3) para ayudar a visualizar la articulación desde el interior (Ver apartado de Artroscopia de Muñeca). A veces el hueso está tan dañado que después de realinearlo queda un espacio hueco. En esos casos, se podría añadir un injerto óseo para ayudar al proceso de consolidación. El Dr.Polo le informará de las mejores opciones para que sane y se recupere.

PATOLOGIAS-MUNECA-FRACTURAS-DE-LA-MUNECA-Figura-3-Osteosintesis-de-fractura-de-muneca-asistida-por-artroscopia
Figura 3 - Osteosíntesis de fractura de muñeca asistida por artroscopia.

RECUPERACIÓN
Durante la recuperación, es muy importante que mantenga los dedos en movimiento para evitar que queden rígidos. Su Cirujano de Mano le pedirá que comience a mover la muñeca en el momento adecuado para su fractura. Muchas veces, la fisioterapia de la mano resulta útil para recuperar el movimiento, la fuerza y la función.

El tiempo de recuperación es variable y depende de muchos factores. Es común que requiera meses. Incluso entonces, algunos pacientes pueden presentar rigidez o dolor. Las fracturas graves de la muñeca pueden derivar en artrosis de la articulación y en algunas ocasiones se necesitan tratamientos adicionales o cirugía.