Fracturas de codo

DESCRIPCIÓN

Las fracturas del codo pueden producirse por una caída, un golpe directo en el codo o la torsión del brazo. Además de la fractura pueden producirse esguinces, distensiones o luxaciones.

Para confirmar si hay fractura y/o si los huesos están fuera de su sitio generalmente se usan las radiografías.  A veces podría ser necesario una tomografía computarizada (escáner/TAC) para ampliar la información.

 

CAUSAS

Entre los diferentes tipos de fracturas del codo se pueden citar:

 

Fracturas de la cabeza y el cuello del radio (Figura 1)

El paciente suele notar mayor dolor cuando rota el antebrazo (cuando se gira la palma de la mano hacia arriba y hacia abajo). El tratamiento de esta fractura depende de la cantidad y el tamaño de los fragmentos del hueso. Las fracturas complejas a menudo necesitan cirugía para reparar y estabilizar los fragmentos, o para extraer o reemplazar la cabeza del radio si hay demasiados fragmentos de hueso.

Figura 1 - Fractura del cuello del radio.

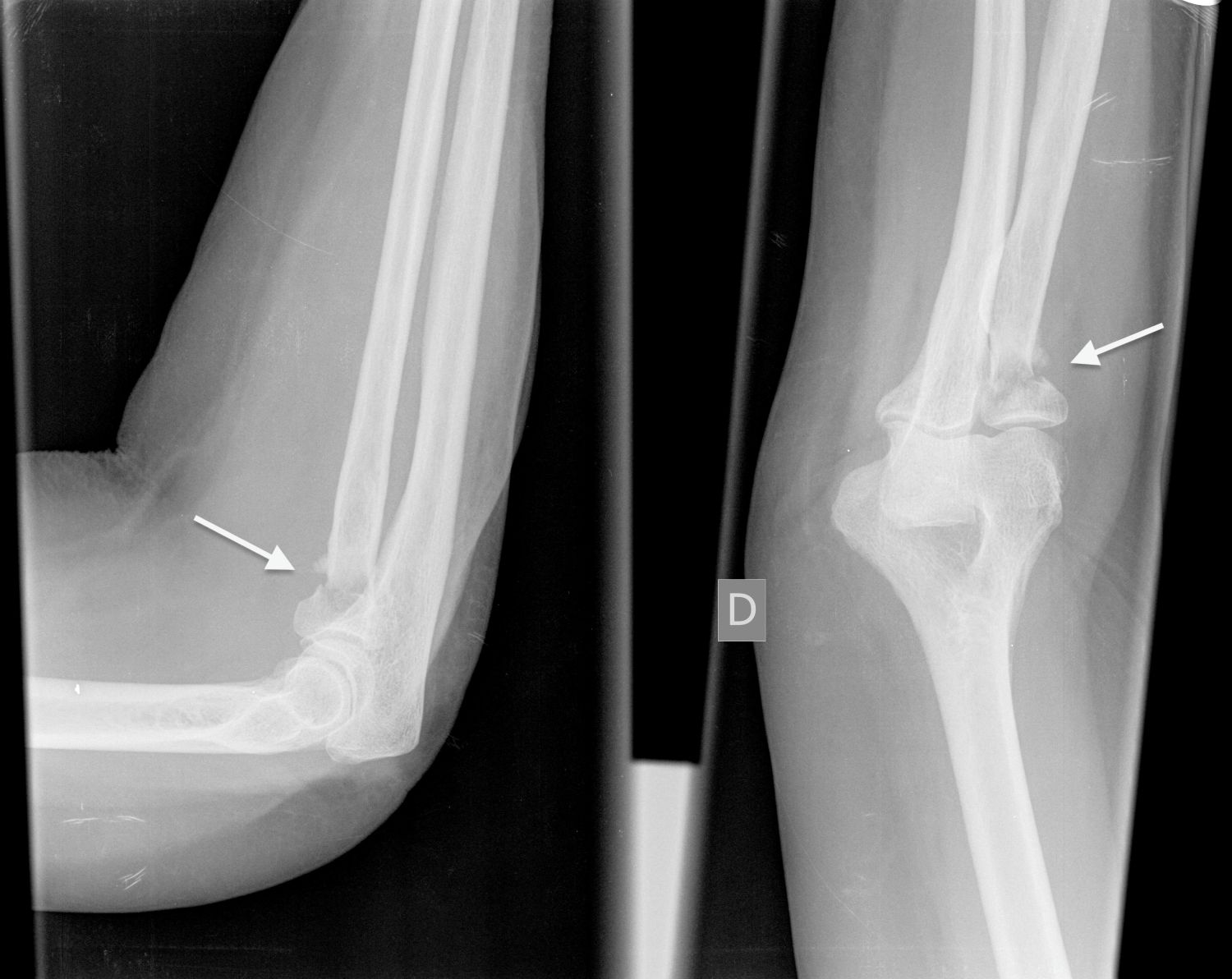
Fracturas de olécranon (Figura 2)

Estas fracturas, por lo general, están desplazadas y necesitan cirugía. Los fragmentos de los huesos se vuelven a alinear y se sintetizan con clavos y alambres o placas y tornillos.

Figura 2 - Fractura de olécranon y cúpula radial.

Fracturas del húmero distal

Estas fracturas ocurren con más frecuencia en niños y ancianos. Este tipo de fracturas pueden estar asociadas a lesiones en los nervios y en las arterias; por ello deben ser evaluadas con detenimiento por un médico experto.

Por lo general, necesitan una reparación quirúrgica con placas o tornillos, a menos que sean estables.  En los niños, la fijación suele realizarse con agujas de kirschner.

 

SIGNOS Y SÍNTOMAS

Algunos signos de una posible fractura en el codo o alrededor del codo pueden ser dolor, inflamación, hematoma y rigidez. Es posible que en el momento en que ocurra la lesión, se note o escuche un chasquido o un crujido.

Una deformidad visible podría significar que los huesos están desplazados o que la articulación del codo está luxada.

Puede asociarse el adormecimiento o debilidad en el brazo, la muñeca y la mano.

 

TRATAMIENTO

Las fracturas que están desplazadas o son inestables serán las que, con más probabilidad, necesiten cirugía. Un procedimiento quirúrgico reemplaza y estabiliza los fragmentos óseos, o bien los extrae. Siempre que una fractura sea abierta (que el hueso se exponga a través de una herida en la piel), se necesita cirugía urgente para limpiar tanto la herida como el hueso y así reducir al mínimo el riesgo de infección.

Por lo general, se usan tratamientos no quirúrgicos, como un cabestrillo, un yeso o una férula, cuando hay poco riesgo de que los huesos se desplacen o cuando la posición de los huesos es aceptable.

La edad también es un factor importante cuando se tratan las fracturas del codo. Los yesos se usan con más frecuencia en los niños, ya que el riesgo de estos de presentar rigidez en el codo es bajo; sin embargo, en un adulto la rigidez del codo es mucho más probable. A menudo se usa la rehabilitación dirigida por el médico para maximizar el movimiento y reducir la probabilidad de rigidez en el codo. Esto podría incluir ejercicios, masaje a la cicatriz, ecografía, calor, hielo y férulas que estiren la articulación.